产品信息
产品名称 | 产品货号 | 包装规格 | 保存条件 | 保质期限 | 简要说明 | 目录价格 | |
| GMP级MSC无血清培养基套装2.0 | GMP 级间充质干细胞无血清培养基2.0 | NC0107 | 500 mL/ 瓶 | 2-8℃ | 12 个月 | 与1.0产品相比,添加剂保持不变,优化了培养基基础,设计用作MSC细胞及外泌体药物的大规模3D及2D生产用途。 既适合原代细胞分离,也适合后续的细胞传代至P20或更高代数。 脐带组织适用。 | ¥1876 |
间充质干细胞无血清培养基添加剂(GMP 级) | NC0106.S | 5 mL/ 瓶 | -20℃ | 12 个月 | |||
| GMP级MSC无血清培养基基础2.0 | NC0107-B | 5L/袋 | 2-8℃ | 12 个月 | 5L装量,多层共挤袋,预留无菌可热熔PVC或TPE管路。 可直连生物反应器。 | ¥13216 | |
产品优势
全新升级配方,化学成分明确,无人源动物源组分,所有蛋 白均为人工重组,更适合临床研究用途。
显著改善细胞贴壁与适应能力,支持更低的接种密度,更高 的扩增倍数;无需更换培养基,一传到底,高效传代至P20仍无细胞老化。
产品性能更优秀,无论是细胞传代培养还是收获外泌体,均能够完美兼备;适配细胞工厂、微载体、生物反应器等2D及3D大规模培养模式,助力收获更高产量外泌体。
性能展示
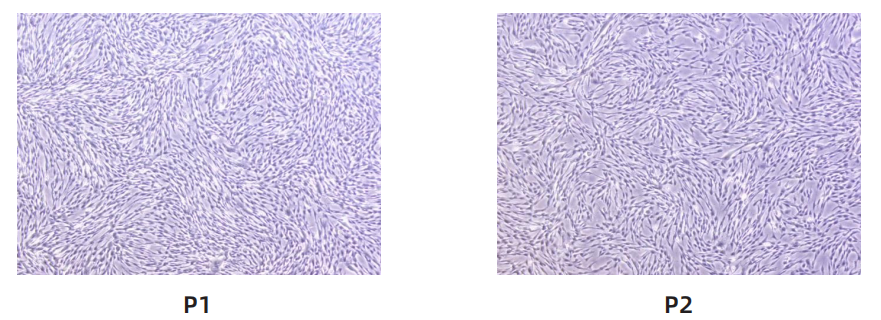
1、细胞传代性能(部分展示)

2、外泌体培养性能
NC0107 培养基用于细胞工厂生产外泌体
①复苏 P2 细胞,并连续传代至 P3 细胞时接种至细胞工厂,15 天共收获外泌体 2.52E+12 个。

②1 层细胞工厂连续培养 12 天,每 3 天全量换液,使用 0.48 L 培养基,收获外泌体 2.29 万亿。

NC0107 培养基用于微载体 3D 培养细胞收获外泌体
周期 15 天,500mL 培养基,共收获外泌体 3.50E+12 个。

3、细胞形态(部分展示)


4、表面标志物鉴定(P10)


5、免疫调控能力

6、MSC体外致瘤性检测
软琼脂克隆形成实验通过模拟细胞在悬浮状态下的生长环境,评估 MSC 的增殖能力和潜在致瘤性。正常贴壁细胞(如成纤维细胞)在软琼脂中难以增殖,而恶性转化或具有致瘤潜力的细胞可通过非锚定依赖性生长 形成克隆。

7、细胞衰老检测-P5

8、三系分化
成脂分化


成骨分化

成软骨分化

